Skip to content Skip to sidebar Skip to footer

Ulna Plus Variante Op

Ulna Impaktions Syndrom Ursachen Symptome Behandlung Ksw

Ulna Impaktions Syndrom Ursachen Symptome Behandlung Ksw

Ulna plus variante op. Bei der Ulna-Plusvariante bestehen belastungsabhängige Schmerzen im ellenseitgen Handgelenk insbesondere bei dessen ellenseitiger Neigung. I think the positive ulnar variance is a consequence of a tfcc tear. Ulnar variance mm 05 11 range 2 to 2 05 14 range 25 to 3 Length of shortening mm 27 13.

65 Patienten mit 66 in dieser Technik operierten Handgelenken konnten mit einer Mindestnachuntersuchungszeit von 1 Jahr nachkontrolliert werden. Angeborene Ursachen für das Syndrom sind eine Madelungsche Deformität oder in den meisten Fällen eine angeborene Überlänge der Elle die sog. Diagnosis is made radiographically with PA wrist radiographs.

-42 to 23 mm. Positive ulnar variance indicates a longer ulna compared to the radius and a negative ulnar variance indicates a shorter ulna. Fracture-specific proximal ulna plates enable the surgeon to address the specific biomechanical requirements of each fracture pattern.

Radial inclination degrees 269 25. Up to 10 cash back Objective Extra-articular shortening of the distal ulna in order to decompress the ulnocarpal joint. The fracture-specific low-profile fixation system with variable angle locking technology.

Indications Congenital or posttraumatic symptomatic ulnar impaction syndrome. There is only one genetic disease where one is born with an ulnar variance Madelungs deformity. There are a lot of studies that have measured the true values of ulnar variance and its normal variations.

Maximum forearm pronation results in an increase in positive ulnar variance whereas. Positive ulnar variance is when the ulna extends past the radius 1-4 mm. Mit einem MR.

Payers include the cost of all Unna boot bandages straps and paste in their payment for 29580. Enjoy the videos and music you love upload original content and share it all with friends family and the world on YouTube.

Ulna Impaction Syndrom Ordination Dr Kitzinger

Ulna Impaction Syndrom Ordination Dr Kitzinger

Https Www Thieme Connect Com Products Ejournals Pdf 10 1055 S 0034 1371851 Pdf

Https Www Thieme Connect Com Products Ejournals Pdf 10 1055 S 0034 1371851 Pdf

Ulnar Variance Radiology Reference Article Radiopaedia Org

Ulnar Variance Radiology Reference Article Radiopaedia Org

Ellenseitiger Handgelenksschmerz

Ellenseitiger Handgelenksschmerz

Ulna Impaction Syndrom 2018

Ulna Impaction Syndrom 2018

Ellenseitiger Handgelenksschmerz

Ellenseitiger Handgelenksschmerz

Arthroscopy Technique With Patient S Hand In Fingertraps Applying Download Scientific Diagram

Arthroscopy Technique With Patient S Hand In Fingertraps Applying Download Scientific Diagram

Die Operative Behandlung Des Ulna Impaction Syndroms Springerlink

Die Operative Behandlung Des Ulna Impaction Syndroms Springerlink

Postoperative Radiograph In Patient From Fig 3 After Arthroscopic Wafer Download Scientific Diagram

Postoperative Radiograph In Patient From Fig 3 After Arthroscopic Wafer Download Scientific Diagram

Morbus Dupuytren Dupuytrensche Kontraktur

Morbus Dupuytren Dupuytrensche Kontraktur

Die Operative Behandlung Des Ulna Impaction Syndroms Springerlink

Die Operative Behandlung Des Ulna Impaction Syndroms Springerlink

Morbus Dupuytren Dupuytrensche Kontraktur

Morbus Dupuytren Dupuytrensche Kontraktur

Pdf Early Prognostic Factors In Distal Radius Fractures In A Younger Than Osteoporotic Age Group A Multivariate Analysis Of Trauma Radiographs

Pdf Early Prognostic Factors In Distal Radius Fractures In A Younger Than Osteoporotic Age Group A Multivariate Analysis Of Trauma Radiographs

Heidemann Hand Und Ellenbogenchirurgie In Hurth Ulnares Impaktionssyndrom

Heidemann Hand Und Ellenbogenchirurgie In Hurth Ulnares Impaktionssyndrom

Ulna Impaction Syndrom 2018

Ulna Impaction Syndrom 2018

Morbus Kienbock Springerlink

Morbus Kienbock Springerlink

A Method For Bringing The Distal Radius Segment In The Planned Position Download Scientific Diagram

A Method For Bringing The Distal Radius Segment In The Planned Position Download Scientific Diagram

Ulna Variance And Ulna Shortening Wristwidget

Ulna Variance And Ulna Shortening Wristwidget

Ellenseitiger Handgelenksschmerz

Ellenseitiger Handgelenksschmerz

Impaction Syndrom Arztbrief Versteher

Impaction Syndrom Arztbrief Versteher

Die Ulnaverkurzungsosteotomie Pdf Kostenfreier Download

Die Ulnaverkurzungsosteotomie Pdf Kostenfreier Download

Hand Und Obere Extremitat

Hand Und Obere Extremitat

Impaction Syndrom Des Handgelenkes Dr Frank Nienstedtdr Frank Nienstedt

Impaction Syndrom Des Handgelenkes Dr Frank Nienstedtdr Frank Nienstedt

1

1

Ulna Impaction Syndrom 2018

Ulna Impaction Syndrom 2018

Die Ulnaverkurzungsosteotomie Mit Der Neuen 7 Loch Gleitplatte Springerlink

Die Ulnaverkurzungsosteotomie Mit Der Neuen 7 Loch Gleitplatte Springerlink

Radiosurf

Radiosurf

Morbus Dupuytren Dupuytrensche Kontraktur

Morbus Dupuytren Dupuytrensche Kontraktur

Korrekturosteotomien An Hand Und Handgelenk Springerlink

Korrekturosteotomien An Hand Und Handgelenk Springerlink

Ellenverkurzung Gegen Handgelenksschmerzen Dr Riml Plastischer Chirurg

Ellenverkurzung Gegen Handgelenksschmerzen Dr Riml Plastischer Chirurg

Handgelenksschmerzen Ursachen Und Therapiemoglichkeiten

Handgelenksschmerzen Ursachen Und Therapiemoglichkeiten

Infothek Chirurgische Praxis Im Medicum

Infothek Chirurgische Praxis Im Medicum

Radiosurf

Radiosurf

Https Epub Ub Uni Greifswald De Files 1613 Endversion Diss Nicole V71 5 Doc Abgabe Unibibliothek Pdf

Https Epub Ub Uni Greifswald De Files 1613 Endversion Diss Nicole V71 5 Doc Abgabe Unibibliothek Pdf

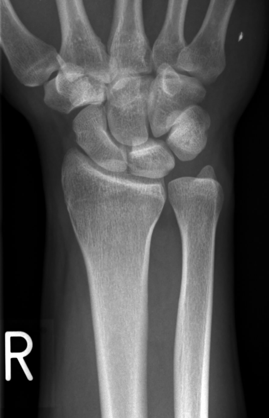
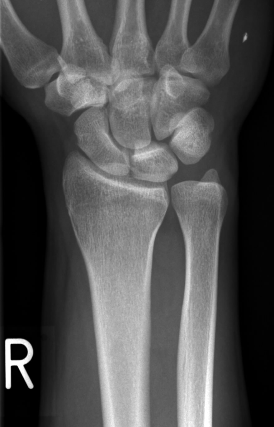
Abb 1 A Beispiel Einer Angeborenen Ulna Plus Variante Bei Einer Download Scientific Diagram

Abb 1 A Beispiel Einer Angeborenen Ulna Plus Variante Bei Einer Download Scientific Diagram

Http Www Handchirurgie Ravensburg De De Pdf Ulnaverkuerzung Gleitlochplatte Pdf

Http Www Handchirurgie Ravensburg De De Pdf Ulnaverkuerzung Gleitlochplatte Pdf

Ulna Plusvariante Doccheck Flexikon

Ulna Plusvariante Doccheck Flexikon

File Ulna Minusvariante Roe Ap Jpg Wikipedia

File Ulna Minusvariante Roe Ap Jpg Wikipedia

Ulnar Styloid Impaction Syndrome Hand Orthobullets

Ulnar Styloid Impaction Syndrome Hand Orthobullets

Tfcc Lasion

Tfcc Lasion

Https Opus Bibliothek Uni Wuerzburg De Files 16102 Pronk Roderick Dissertation Pdf

Https Opus Bibliothek Uni Wuerzburg De Files 16102 Pronk Roderick Dissertation Pdf

Http Synthes Vo Llnwd Net O16 Llnwmb8 Int 20mobile Synthes 20international Product 20support 20material Legacy Synthes Pdf 036 000 494 Pdf

Http Synthes Vo Llnwd Net O16 Llnwmb8 Int 20mobile Synthes 20international Product 20support 20material Legacy Synthes Pdf 036 000 494 Pdf

Https Refubium Fu Berlin De Bitstream Handle Fub188 10959 Diss A Polak Pdf Sequence 1 Isallowed Y

Https Refubium Fu Berlin De Bitstream Handle Fub188 10959 Diss A Polak Pdf Sequence 1 Isallowed Y

Korrekturosteotomien An Hand Und Handgelenk

Korrekturosteotomien An Hand Und Handgelenk

The 19th Congress Of The Romanian Society Of Anatomy V4 Pdf Human Anatomy Medicine

The 19th Congress Of The Romanian Society Of Anatomy V4 Pdf Human Anatomy Medicine

Handgelenksarthrose

Handgelenksarthrose

Positive Ulnar Variance Radiology Reference Article Radiopaedia Org

Positive Ulnar Variance Radiology Reference Article Radiopaedia Org

Https Www Thieme Connect De Products Ebooks Pdf 10 1055 B 0036 136586 Pdf

Https Www Thieme Connect De Products Ebooks Pdf 10 1055 B 0036 136586 Pdf

Distal Radiusfraktur Hos Vuxna

Distal Radiusfraktur Hos Vuxna

47 Handgelenke wiesen eine Ulna-neutral-Variante 5 ein Ulna-minus und 14 ein Ulna-plus auf.

The different variance values also signify the distribution of load borne by individual bones ie. In a small percentage of individuals the ulna is longer than the radius. Ulna-plus-Variante von denen der Patienten mit Ulna-minus- bis Ulna-null-Variante im Nachuntersuchungszeitraum unter-scheiden und sich bei Versagen des arthroskopischen Débride ments durch eine zusätzliche UVO annähern 1 35 8 18 21 22. Enjoy the videos and music you love upload original content and share it all with friends family and the world on YouTube. Ein Ulna-Impaktions-Syndrom tritt häufig auf wenn es nach einer Speichenfraktur zu einer Fehlverheilung kommt die eine relative Überlänge der Elle bewirkt. Maximum forearm pronation results in an increase in positive ulnar variance whereas. The most cited value of is 09 mm range. 65 Patienten mit 66 in dieser Technik operierten Handgelenken konnten mit einer Mindestnachuntersuchungszeit von 1 Jahr nachkontrolliert werden. Zwei Ärzte erzählten mir aber das eindeutig eine Ulna Plus Variante zu sehen ist und ich wahrscheinlich Operieren muss da meine Elle 4-5 mm zu lang ist.


BareMinerals Smashbox Murad more. 6. Ich soll am 1710 in die Handambulanz kommen. Medically necessary Unna boots not applied as post-op dressings make use of the CPT 29580 Strapping. Fracture-specific proximal ulna plates enable the surgeon to address the specific biomechanical requirements of each fracture pattern. Maximum forearm pronation results in an increase in positive ulnar variance whereas. Ulnar variance may be.

Post a Comment for "Ulna Plus Variante Op"