Skip to content Skip to sidebar Skip to footer

Wie Sehen Die Letzten Tage Bei Einem Lungenkarzinom Aus

Lungenkrebs Bronchialkarzinom Warnsignale Therapie Netdoktor

Lungenkrebs Bronchialkarzinom Warnsignale Therapie Netdoktor

Wie sehen die letzten tage bei einem lungenkarzinom aus. Die Natriumwerte gehen in den Keller und der Flüssigkeitsgehalt im Körper steigt an. Ein kleinzelliges Lungenkarzinom kann den Salzgehalt im Blut verändern. Es kann sein dass die Untersuchung ein leichtes Druckgefühl oder einen Hustenreiz auslöst Schmerzen treten normalerweise nicht auf.

Bei nicht wenigen Betroffenen sind diese Beschwerden sogar der erste Hinweis auf die Erkrankung. Neben dem flexiblen Schlauch gibt es noch ein starres Bronchoskop das zum Beispiel dann eingesetzt wird wenn ein Tumor die Atemwege verlegt und abgetragen werden muss um die Atemwege wieder zu öffnen. Ist die Leber betroffen kommt es oft zu Gewichtsverlust Schwäche und Müdigkeit ebenfalls eher unspezifischen Symptomen.

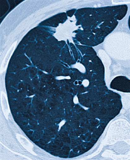
Der Atem wird immer flacher und setzt zuweilen aus. Bei Verdacht auf Lungenkrebs Bronchialkarzinom ergibt sich die erste Diagnose aus bildgebenden Untersuchungen wie Röntgenuntersuchungen oder einer Computertomographie CT der Lunge besonders wenn der Patient gleichzeitig über Symptome wie Husten blutigen Auswurf Atemnot oder auch Fieber und Gewichtsverlust klagt. Das führt unter anderem zu Schwäche Abgeschlagenheit Konzentrationsstörungen und Kopfschmerzen.

Anfangs oft keine oder nur unspezifische Beschwerden wie hartnäckiger Husten Brustschmerzen und Abgeschlagenheit. Wenn der Tumor die Brustwand angreift können dauerhafte unablässige Brustschmerzen auftreten. Bei Verdacht auf Lungenkrebs beginnt der Arzt die Diagnose in der Regel mit bildgebenden Untersuchungen wie Röntgenuntersuchungen oder einer Computertomographie CT der Lunge besonders wenn der Patient regelmäßig raucht und gleichzeitig über Symptome wie Husten blutigen Auswurf Atemnot Fieber und Gewichtsverlust klagt.

Wie sehen die letzten tage bei einem lungenkarzinom aus Es gibt eine ganze Reihe von Symptomen die für die letzte Lebensphase. Augen und Wangen sinken ein. Weitere Folgen des Verschlusses eines Atemwegs sind Kurzatmigkeit und Lungenentzündung Pneumonie was von Husten Fieber und Brustschmerzen begleitet sein kann.

Vor allem bei spät entdeckten Lungentumoren kann es nach der Krebsbehandlung im Laufe der folgenden Jahre zu einem Rückfall kommen. Die Pupillen reagieren nur noch schwach auf Licht. Bei Befall der Knochen leiden Patienten häufig unter Schmerzen die zunächst zum Beispiel als Arthrose gedeutet werden.

Später können Symptome wie Atemnot leichtes Fieber starker Gewichtsverlust und blutiger Auswurf hinzukommen. Allerdings sollte das nur in den letzten.

Lungenkrebs Heilungschancen Lebenserwartung

Lungenkrebs Heilungschancen Lebenserwartung

Bronchialkarzinom Lungenkrebs Tod Ursache Symptome

Bronchialkarzinom Lungenkrebs Tod Ursache Symptome

Lungenkrebs Focus Arztsuche

Lungenkrebs Focus Arztsuche

Lungenkrebs Bronchialkarzinom Warnsignale Therapie Netdoktor

Lungenkrebs Bronchialkarzinom Warnsignale Therapie Netdoktor

Lungenkrebs Bronchialkarzinom Warnsignale Therapie Netdoktor

Lungenkrebs Bronchialkarzinom Warnsignale Therapie Netdoktor

Https Www Esmo Org Content Download 123909 2350201 File De Nicht Kleinzelliges Bronchialkarzinom Nsclc Patientenleitlinie Pdf

Https Www Esmo Org Content Download 123909 2350201 File De Nicht Kleinzelliges Bronchialkarzinom Nsclc Patientenleitlinie Pdf

Geh Meine Schone So Verbringt Die Sterbende Dana 34 Ihre Letzten Tage Brigitte De

Geh Meine Schone So Verbringt Die Sterbende Dana 34 Ihre Letzten Tage Brigitte De

Behandlung Bei Lungenkrebs Therapiemoglichkeiten

Behandlung Bei Lungenkrebs Therapiemoglichkeiten

13 Zeichen Fur Den Nahen Tod

13 Zeichen Fur Den Nahen Tod

Behandlung Bei Lungenkrebs Therapiemoglichkeiten

Behandlung Bei Lungenkrebs Therapiemoglichkeiten

Hatte Malle Jens Schon Seit Jahren Lungenkrebs

Hatte Malle Jens Schon Seit Jahren Lungenkrebs

Lungenkrebs Bronchialkarzinom Warnsignale Therapie Netdoktor

Lungenkrebs Bronchialkarzinom Warnsignale Therapie Netdoktor

Dank Palliativ Pflege Die Letzten Tage Zuhause Verbringen Vorwarts

Dank Palliativ Pflege Die Letzten Tage Zuhause Verbringen Vorwarts

Lungenkrebs Risiken Behandlung Neue Chancen Das K Wort

Lungenkrebs Risiken Behandlung Neue Chancen Das K Wort

Thema Lungenkrebs

Thema Lungenkrebs

Thema Lungenkrebs

Thema Lungenkrebs

Lungenkrebs Symptome Stadien Lebenserwartung Onmeda De

Lungenkrebs Symptome Stadien Lebenserwartung Onmeda De

Krebsstadien Vorstufen Stadien Verlauf Bis Krebstod Pflege De

Krebsstadien Vorstufen Stadien Verlauf Bis Krebstod Pflege De

Thema Lungenkrebs

Thema Lungenkrebs

Behandlung Bei Lungenkrebs Therapiemoglichkeiten

Behandlung Bei Lungenkrebs Therapiemoglichkeiten

Diagnostik Bei Verdacht Auf Lungenkrebs

Diagnostik Bei Verdacht Auf Lungenkrebs

2

2

Geh Meine Schone So Verbringt Die Sterbende Dana 34 Ihre Letzten Tage Brigitte De

Geh Meine Schone So Verbringt Die Sterbende Dana 34 Ihre Letzten Tage Brigitte De

1

1

Lungenkrebs Universitatsklinikum Freiburg

Lungenkrebs Universitatsklinikum Freiburg

Lungenkrebs

Lungenkrebs

Behandlung Bei Lungenkrebs Therapiemoglichkeiten

Behandlung Bei Lungenkrebs Therapiemoglichkeiten

Lungenkrebs Symptome Erkennen Fruhzeitig Behandeln

Lungenkrebs Symptome Erkennen Fruhzeitig Behandeln

Adjuvante Chemotherapie Beim Komplett Resezierten Nicht Kleinzelligen Lungenkarzinom

Adjuvante Chemotherapie Beim Komplett Resezierten Nicht Kleinzelligen Lungenkarzinom

Bronchialkarzinom Wikipedia

Bronchialkarzinom Wikipedia

Wie Leben Und Sterben Mit Der Diagnose Lungenkrebs Endlich Leben By Heidi Leisner

Wie Leben Und Sterben Mit Der Diagnose Lungenkrebs Endlich Leben By Heidi Leisner

Urs Hat Lungenkrebs Seine Letzten Tage In Seiner Innenwelt Youtube

Urs Hat Lungenkrebs Seine Letzten Tage In Seiner Innenwelt Youtube

Therapie Von Lungenkrebs Dkg

Therapie Von Lungenkrebs Dkg

Neue Therapie Bei Lungenkrebs Krebs Nachrichten

Neue Therapie Bei Lungenkrebs Krebs Nachrichten

Lungenkarzinom Kleinzellig Sclc Onkopedia

Lungenkarzinom Kleinzellig Sclc Onkopedia

Diagnose Von Lungenkrebs Dkg

Diagnose Von Lungenkrebs Dkg

Lungenkrebs Behandeln Novartis Klinische Forschung

Lungenkrebs Behandeln Novartis Klinische Forschung

Lungenkrebs Definition Und Haufigkeit Dkg

Lungenkrebs Definition Und Haufigkeit Dkg

Lungenkrebs Grosse Heilungschancen Dank Fruhzeitiger Entdeckung Hirslanden

Lungenkrebs Grosse Heilungschancen Dank Fruhzeitiger Entdeckung Hirslanden

Bronchialkarzinom Lungenkrankheiten Msd Manual Profi Ausgabe

Bronchialkarzinom Lungenkrankheiten Msd Manual Profi Ausgabe

Bronchialkarzinome Behandlung Des Nicht Kleinzelligen Lungenkrebses

Bronchialkarzinome Behandlung Des Nicht Kleinzelligen Lungenkrebses

Erkrankungsverlauf Bei Lungenkrebs Dkg

Erkrankungsverlauf Bei Lungenkrebs Dkg

Krebserkrankung Diese Art Tritt Weltweit Am Haufigsten Auf Who Bericht

Krebserkrankung Diese Art Tritt Weltweit Am Haufigsten Auf Who Bericht

Lungenkrebs Wer Beschwerden Hat Bei Dem Ist Es Meist Schon Zu Spat

Lungenkrebs Wer Beschwerden Hat Bei Dem Ist Es Meist Schon Zu Spat

Lungenkrebs Bei Diagnose Tod Symptome Und Behandlungsverlauf News De

Lungenkrebs Bei Diagnose Tod Symptome Und Behandlungsverlauf News De

Behandlung Bei Lungenkrebs Therapiemoglichkeiten

Behandlung Bei Lungenkrebs Therapiemoglichkeiten

Bronchialkarzinom Wikipedia

Bronchialkarzinom Wikipedia

Lungenkrebs Bronchialkarzinom Warnsignale Therapie Netdoktor

Lungenkrebs Bronchialkarzinom Warnsignale Therapie Netdoktor

1

1

Es kann sein dass die Untersuchung ein leichtes Druckgefühl oder einen Hustenreiz auslöst Schmerzen treten normalerweise nicht auf.

Ein kleinzelliges Lungenkarzinom kann den Salzgehalt im Blut verändern. Die nicht-kleinzelligen Lungenkarzinome wachsen und metastasieren deutlich langsamer. Wenn der Tumor die Brustwand angreift können dauerhafte unablässige Brustschmerzen auftreten. Augen und Wangen sinken ein. Ein kleinzelliges Lungenkarzinom kann den Salzgehalt im Blut verändern. Bei Befall der Knochen leiden Patienten häufig unter Schmerzen die zunächst zum Beispiel als Arthrose gedeutet werden. Der Tumor tritt dann erneut in der Lunge oder auch in anderen Körperregionen auf Rezidiv. Wie sehen die letzten tage bei einem lungenkarzinom aus. Es kann sein dass die Untersuchung ein leichtes Druckgefühl oder einen Hustenreiz auslöst Schmerzen treten normalerweise nicht auf.


Der Atem wird immer flacher und setzt zuweilen aus. An der Körperunterseite insbesondere an Händen und Füßen bilden sich dunkle Flecken. Bei Befall der Knochen leiden Patienten häufig unter Schmerzen die zunächst zum Beispiel als Arthrose gedeutet werden. Wenn der Tumor die Brustwand angreift können dauerhafte unablässige Brustschmerzen auftreten. Bei Verdacht auf Lungenkrebs Bronchialkarzinom ergibt sich die erste Diagnose aus bildgebenden Untersuchungen wie Röntgenuntersuchungen oder einer Computertomographie CT der Lunge besonders wenn der Patient gleichzeitig über Symptome wie Husten blutigen Auswurf Atemnot oder auch Fieber und Gewichtsverlust klagt. Ein kleinzelliges Lungenkarzinom kann den Salzgehalt im Blut verändern. Ist die Leber betroffen kommt es oft zu Gewichtsverlust Schwäche und Müdigkeit ebenfalls eher unspezifischen Symptomen.

Post a Comment for "Wie Sehen Die Letzten Tage Bei Einem Lungenkarzinom Aus"